Kompetenzzentrum für zahnärztlich-radiologische Diagnostik und orale Medizin Prof. Dr. Michael Bornstein

Kompetenzzentrum für zahnärztlich-radiologische Diagnostik und orale Medizin Als Kliniker ist man im Praxisalltag immer wieder mit folgenden diagnostischen Problemen und Fragestellungen konfrontiert:

Es bestehen unklare Befunde auf dem intra- oder extraoralen Röntgenbild.

Wo liegt ein retinierter Zahn in Bezug auf die Nachbarzähne und vitale Strukturen wie Mandibularkanal, Nasenhöhle oder Kieferhöhle?

Sie wollen eine dreidimensionale (3D) radiologische Abklärung mit Einschätzung des Befundes und entsprechender Therapieempfehlung.

Sie wollen mehr über die genaue Lage, den Verlauf und den Zustand wichtiger anatomischer Strukturen wie beispielweise dem Mandibularkanal oder der Kieferhöhle wissen.

Es bestehen Veränderungen der Mundschleimhaut oder intraorale Beschwerden, welche Sie nicht genau einschätzen können.

Unklare Mundschleimhautbefunde sollen weiter abgeklärt, therapiert und langfristig nachkontrolliert werden. Dies auch im Hinblick auf die Vermeidung und Früherkennung einer malignen Transformation.

Das oro-faziale Diagnostikzentrum Weinbergstrasse soll Ihnen dabei als zahnmedizinischer Partner mit ausgewiesener Expertise in der dento-maxillofazialen Radiologie und oralen Medizin zur Seite stehen. Die diagnostische Abklärung auf Ihre Zuweisung hin erfolgt einerseits radiologisch mittels digitaler Volumentomographie (DVT) oder klinisch bei Mundschleimhautveränderungen.

Team

Prof. Dr. med. dent. Michael M. Bornstein

Dr. med. dent. Martina Schriber

Radiologische Untersuchungen (3D) mittels DVT

  • Abklärung der Lage retinierter Zähne (v.a. Weisheitszähne, Eckzähne im Oberkiefer, überzählige Zähne) und assoziierter Probleme (Wurzelresorptionen, zystische Veränderungen, Beziehung zu neuro-vaskulären Strukturen)
  • Abklärung vor einer geplanten Implantation (mit Augenmerk auf Knochenangebot, Zustand der Nachbarzähne und allfällig vorhandene Pathologien)
  • Abklärung der Lage, Ausdehnung und auch des Zustands des Sinus maxillaris bei unklaren Beschwerden oder vor geplanten zahnärztlich-chirurgischen Eingriffen
  • Abklärung bei endodontischen Problemen (apikale Pathologien, Zustand der Wurzelkanalbehandlung und der Nachbarzähne)
  • Abklärung vor geplanter Wurzelspitzenresektion
  • Abklärung bei parodontalen Befunden vor allem bei Furkationsbefall oder Paro-Endo-Läsionen
  • Abklärung nach dento-alveolären Traumata (Wurzelfrakturen, Frakturen des Kiefers)
  • Abklärung von unklaren Osteolysen oder Osteosklerosen im Hinblick auf eine Differenzierung von zystischen oder reaktiven Prozessen von Neoplasien
  • Auffinden und Lagebeurteilung von Fremdkörpern im oro-fazialen Bereich (in den Weichteilen, der Kieferhöhle, etc.)

Ausgeprägtes Diastema zwischen 11/21 und Fehlstellung der lateralen Inzisiven aufgrund eines Mesiodens (3D-Bildrekonstruktion).

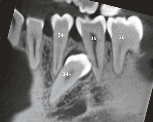
Überzähliger, retinierter Prämolar (34+) mit Resorption der mesialen Wurzel 35 (sagittales und axiales DVT-Schnittbild).

Diagnostik und Therapie von Mundschleimhauterkrankungen und oro-fazialen Beschwerden (u.a. Schmerz)

  • Reaktive Prozesse wie chemische, thermische, physikalische oder infektiöse Veränderungen (beispielsweise lichenoide Läsionen, Verätzungen, allergische Reaktionen, Gingivawucherungen, Herpes-Infekte, etc.)
  • Tumor-ähnliche oder echte benigne Tumoren der Mundschleimhaut (Fibrome und fibröse Hyperplasien, Hämangiome, Papillome, Epuliden, etc.)
  • Präkanzeröse Läsionen (v.a. Leukoplakien und Erythroplakien) oder prämaligne Konditionen (v.a. oraler Lichen planus)
  • Abklärung von suspekten oder potentiell malignen Veränderungen
  • Oro-faziale Schmerzerkrankungen wie das Burning-Mouth-Syndrom oder atypische Gesichtsschmerzen

Grossflächige Leukoplakie am linken Zungenrand mit Ausdehnung auf den Mundboden.

Wie gehen Sie vor, um einen Patienten bei uns anzumelden?

Sie können das entsprechende Überweisungsformular herunterladen, ausfüllen und per Fax (+41 (0)44 533 30 11) oder per E-mail (mbornstein@diagnostik-weinbergstrasse.ch) zusenden.

Bitte schreiben Sie neben den Angaben zum Patienten auch die Indikation (radiologische oder stomatologische Abklärung) und die Dringlichkeit der Zuweisung auf.

In der Regel werden Notfälle innerhalb der nächsten 24 Stunden aufgeboten und untersucht.
Normale Zuweisungen werden innerhalb 1 bis 3 Wochen aufgeboten und beurteilt.

Sie erhalten nach Abschluss der Untersuchung einen ausführlichen Bericht. Bei radiologischen Abklärungen senden wir ihnen zusätzlich repräsentative Ausdrucke und einen Memory Stick mit allen Daten (DICOM) zu. Bei oralmedizinischen Untersuchungen erhalten sie Kopien der durchgeführten histopathologischen oder labormedizinischen Untersuchungen.

Wie Sie uns finden

Das Kompetenzzentrum befindet sich im Ärtzehaus am Schaffhauserplatz in Zürich. Wir sind sowohl mit dem Auto (Kundenparkplätze nach Absprache mit der Anmeldung sind vorhanden) als auch mit öffentlichen Verkehrsmitteln sehr gut zu erreichen.
Adresse
Weinbergstrasse 160 8006 Zürich
Öffnungszeiten
Montag bis Donnerstag
08.00–12.00 Uhr, 13.00–17.00 Uhr
Freitag
08.00–15.00 Uhr
Termine nur nach Absprache
Telefon / Fax
Fax
+41 (0)44 533 30 11
Anfahrt mit dem öffentlichen Verkehr

Bus-Linie 33 oder Tram-Linien 7, 11, 14 und 15 Haltestelle «Schaffhauserplatz»

Studium der Zahnmedizin in Basel, Staatsexamen 1998, Promotion zum Dr. med. dent. 2001. Weiterbildung in Oralchirurgie und Stomatologie in Basel und Bern (1998-1999, Prof. Dr. Dr. J. Th. Lambrecht; ab 2000, Prof. Dr. D. Buser).

Seit Herbst 2002 Oberassistent an der Klinik für Oralchirurgie und Stomatologie der Universität Bern und Leiter der Stomatologiesprechstunde.

Im Juni 2003 Erlangung des Fachzahnarzttitels für Oralchirurgie.

Im Jahre 2004 Visiting Assistant Professor im Department of Periodontics an der University of Texas Health Science Center at San Antonio, USA.

Seit September 2004 Lehrbeauftragter für «Stomatologie» an der Universität Bern.

2007 – 2014 Leiter der Station für zahnärztliche Radiologie und Stomatologie der Klinik für Oralchirurgie und Stomatologie der Universität Bern.

Oktober 2009 Habilitation auf dem Gebiet «Oralchirurgie und Stomatologie».

Seit Januar 2013 Gastprofessor am Oral Imaging Center, Department of Oral Health Sciences, KU Leuven, UZ Leuven, Belgien.

Im April 2014 Assoziierte Professur an der Universität Bern, im Januar 2015 Titularprofessur.

Seit Juni 2015 Praxis mit Schwerpunkt zahnärztliche Radiologie und orale Medizin / Diagnostik in Zürich (Weinbergstrasse).

Forschungsschwerpunkte: Einsatz der digitalen Volumentomographie (DVT) in der Diagnostik und Therapieplanung für die zahnärztlichen Praxis, orale Medizin, GBR-Techniken mit resorbierbaren Membranen und dentalen Implantaten.

2016 Weiterbildungsausweis SSO in Allgemeiner Zahnmedizin
2014 Ausbildung mit Zertifizierung in Digitaler Volumentomographie, SGDMFR
2014 Master of Advanced Studies in Cariology, Endodontology and Pediatric Dentistry, Universität Bern (MAS REST Unibe)
2014 – 2016 3-jährige, strukturierte Weiterbildung, Klinik für Oralchirurgie und Stomatologie, Universität Bern
2011 – 2013 3-jährige, strukturierte Weiterbildung, Klinik für Zahnerhaltung, Präventiv- und Kinderzahnmedizin, Universität Bern
2009 – 2013 Dissertation mit Publikation unter Leitung von Prof. Dr. Th. Attin, Klinik für Präventivzahnmedizin, Parodontologie und Kariologie, Universität Zürich
2009 – 2010 Kompaktkurs Kinderzahnheilkunde mit Zertifizierung (ÖGK), Wien und Salzburg; Kursleitung: Dr. V. Bürkle, Spezialistin für Kinder- und Jugendzahnheilkunde (DGK), Salzburg
2009 Ausbildung in Lachgassedation mit Zertifizierung, Privates Fortbildungszentrum für Kinder- und Jugendzahnheilkunde, München; Kursleitung: Dr. J. Esch, Spezialistin für Kinder- und Jugendzahnheilkunde (DGK), München
2006 Eidgenössisch diplomierte Zahnärztin, Universität Zürich
2001 – 2006 Zahnmedizinstudium, Universität Zürich
2001 Ausbildung Seasonal Flight Attendant, Swissair Training Center, Kloten
2001 Matura Typus B (Latein)
Berufserfahrung
ab 2017 Zahnärztin mit Schwerpunkt zahnärztliche Radiologie und orale Medizin / Diagnostik in Privatpraxis, Zürich (Weinbergstrasse)
seit 01/2014 Weiterbildungsassistentin, Klinik für Oralchirurgie und Stomatologie, Zahnmedizinische Kliniken Bern; Klinikleitung: Prof. Dr. D. Buser
ab 2012 Freischaffende Redaktorin für Swiss Dental Journal und Zahn Zeitung Schweiz GmbH
06/2012 – 12/2013 Anstaltszahnärztin, Strafanstalten Hindelbank
01/2011 – 12/2013 Weiterbildungsassistentin, Klinik für Zahnerhaltung, Präventiv- und Kinderzahnmedizin, Zahnmedizinische Kliniken Bern; Klinikleitung: Prof. Dr. A. Lussi
07/2008 – 12/2010 Weiterbildungsassistentin, Allgemeinpraxis, Schaffhausen
06/2007 – 12/2010 Assistenzzahnärztin, Schulzahnklinik Schaffhausen
11/2006 – 05/2007 Weiterbildungsassistentin, Allgemeinpraxis, Urdorf
05-06/2005 Praktikum, Poliklinik für Orale Chirurgie, Zentrum für Zahnmedizin, Universität Zürich
02/2001 – 10/2001 Seasonal Flight Attendant, Swissair Cabin Crew
Publikationen
Gfeller D, Schriber M, Suter VGA, Altermatt HJ, Bornstein MM. Riesenzellgranulome im Kiefer und im parodontalen Gewebe. Teil 2: Das periphere Riesenzellgranulom. Quintessence Int 2016; 67(7): 857 – 867.
Schriber M, Suter VGA, Gfeller D, Altermatt HJ, Bornstein MM. Riesenzellgranulome im Kiefer und im parodontalen Gewebe. Teil 1: Das zentrale Riesenzellgranulom. Quintessence Int 2016; 67(6): 735 – 743.
Schriber M, Suter VGA, Bornstein MM. Anamnese – weshalb sie so wichtig ist. Dimensions 2015; 3: 6 – 9.
Schaffner M, Schriber M, Lussi A. Externes Granulom. Swiss Dent J 2015; 125(2): 146 – 147.
Rechenberg DK, Schriber M, Attin T. Bacterial leakage through temporary fillings in core buildup composite material – an in vitro study. J Adhes Dent. 2012 Aug; 14(4): 371 – 376.